Dr Eric Vallée
Chirurgien-dentiste à Nice
10 Place Fontaine Du Temple, 06100 Nice
+33 4 93 84 94 92

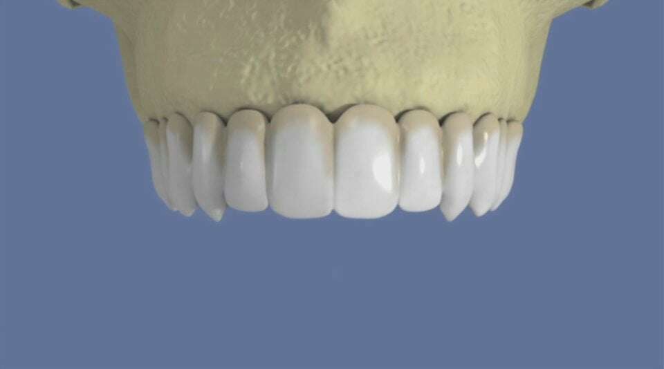
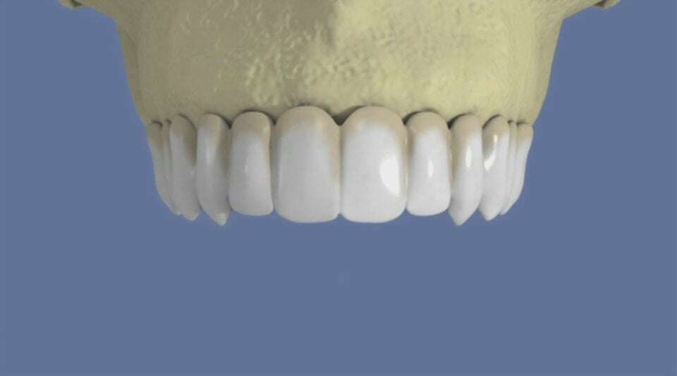
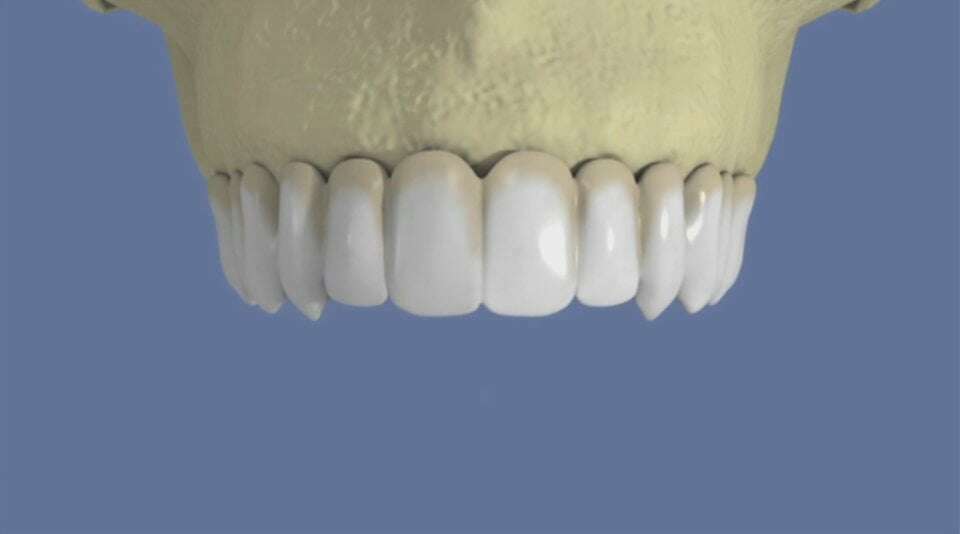
Maxillaire : bridge vissé sans fausse gencive


video-play-icon

Création par Webdentiste

Connexion